20 حقیقت جالب در مورد دوقلوها که تا کنون نمی دانستید
آمار تولد دوقلو و چند قلو در جهان رو به افزایش است.تولد دوقلوها در قرن بیست و یکم بسیار متداول شده است، به گونهای که بین سالهای ۱۹۸۰ و ۲۰۰۳، میزان تولد دوقلوها ۷۵ درصد افزایش یافته است.
بخارمگ- تعداد دوقلوها در ایالات متحده با سرعت بسیار زیاد در حال افزایش است. براساس گزارشی که اخیراً توسط مرکز ملی آمار بهداشت منتشر شده است ، میزان تولد دوقلوها 76 درصد است. این ممکن است به این دلیل باشد که تعداد بیشتری از زنان بالای 30 سال صاحب فرزند می شوند و تعداد بیشتری از آنها از داروهای باروری استفاده می کنند که هر دو احتمال چند قلو زایی را افزایش می دهند.
در حالی که در ابتدا تصور میشد افزایش استفاده از داروهای باروری باعث ایجاد چنین افزایش شدید باشد، یک مطالعه مقدماتی که در سال ۲۰۰۶ انجام شد، نشان داد زنانی که شیر گاو مینوشند، این احتمال در آنها پنج برابر بیشتر میشود.
علت اینکه بر روی مصرف موادی لبنی تمرکز شده است این است که محققان به این نتیجه رسیده اند که افزایش فاکتور IGF باعث آزاد شدن دو تخمک هم زمان میشود، بنابراین شانس بیشتری برای دوقلوزایی وجود دارد.
حتی اگر تعداد دوقلو ها افزایش یافته باشد بازهم دوقلوها جذاب هستند و نگاه ها و توجه ها را به سوی خود می کشند.
واقعیت های دوقلوی جالبی در باره دوقلوها وجود دارد:
1. دوقلوها در ماه اول حداقل شش صد پوشک را کثیف می گذارند.
2. دوقلو زایی در زنان قد بلند بیشتر است.
3-دوقلوهای همسان کاملا یکسان نیستند:
آنها از همان تخمک بیرون آمده اند و بسیار شبیه به هم هستند ، غیرممکن است که آنها را براحتی تشخیص بدهیم - اما هر کسی که مجموعه ای از دوقلوهای یکسان را می شناسد می داند که در واقع کپی های عینا از یکدیگر نیستند. و محققان در حال بررسی این موضوع هستند که چرا دوقلوهای همسان صد درصد شبیه نیستند.
یک مطالعه جدید که در مجموعه مقالات آکادمی ملی علوم منتشر شده است ، حاکی از آن است که عوامل محیطی مانند عادت های غذایی و قرار گرفتن در معرض مواد شیمیایی - که به عنوان اثرات اپی ژنتیکی نیز شناخته می شوند - باعث می شوند دوقلوهای یکسان با گذشت زمان از هم متفاوت تر شوند. به عنوان مثال ، دوقلوهای یکسان ممکن است با گذشت سال ها کمتر شبیه به نظر برسند ، آنها می توانند شخصیت های کاملاً متفاوتی داشته باشند.

4- دوقلوهای یکسان همیشه ژنتیک یکسانی ندارند.
در حالی که دوقلوهای یکسان از یک تخم بارور شده مشتمل بر یک مجموعه دستورالعمل ژنتیکی ، که به عنوان ژنوم نیز شناخته می شود ، مشتق شده اند ،با این حال ممکن است دوقلوهای یکسان تفاوت های جدی در آرایش ژنتیکی خود داشته باشند. متخصص ژنتیک کارل برودر از دانشگاه آلاباما در بیرمنگام از نزدیک ژنوم 19 مجموعه از دوقلوهای یکسان بزرگسال را مورد بررسی قرار داد و دریافت که در بعضی از مجموعه ها ، DNA دوقلو در تعداد نسخه های هر ژن موجود در آن متفاوت است. به طور معمول ، هر فرد دارای دو نسخه از هر ژن است که از هر والدین به ارث رسیده است ، اما Bruder توضیح می دهد که "مناطقی در ژنوم وجود دارد که از آن قانون تبعیت نی کنند.
نکاتی مهم برای شیردهی به دوقلوها
5. فرزندان دوقلوهای نر دوقلو نخواهند داشت مگر اینکه همسرانشان توانایی تولید دو تخمک (دوقلو زایی) را داشته باشند.
6. دی ان ای دوقلوهای همسان یکسان هستند اما اثر انگشت یکسان ندارند.
7- حدود یک در 250 بارداری منجر به دوقلوهای همسان می شود.
8. 22 درصد از دوقلوها چپ دست هستند ، در مقایسه با سایرین که فقط 10 دصد چپ دست هستند.
9- دختران دوقلوی همسان دو برابر احتمال تولد دوقلوها نسبت به بقیه دارند.
10. هنگامی که دوقلوهای برادرانه دارید ، 3 تا 4 برابر بیشتر احتمال دارد که مجموعه دیگری داشته باشید.
11. نیجریه بالاترین میزان دوقلوهای یکسان را دارد.
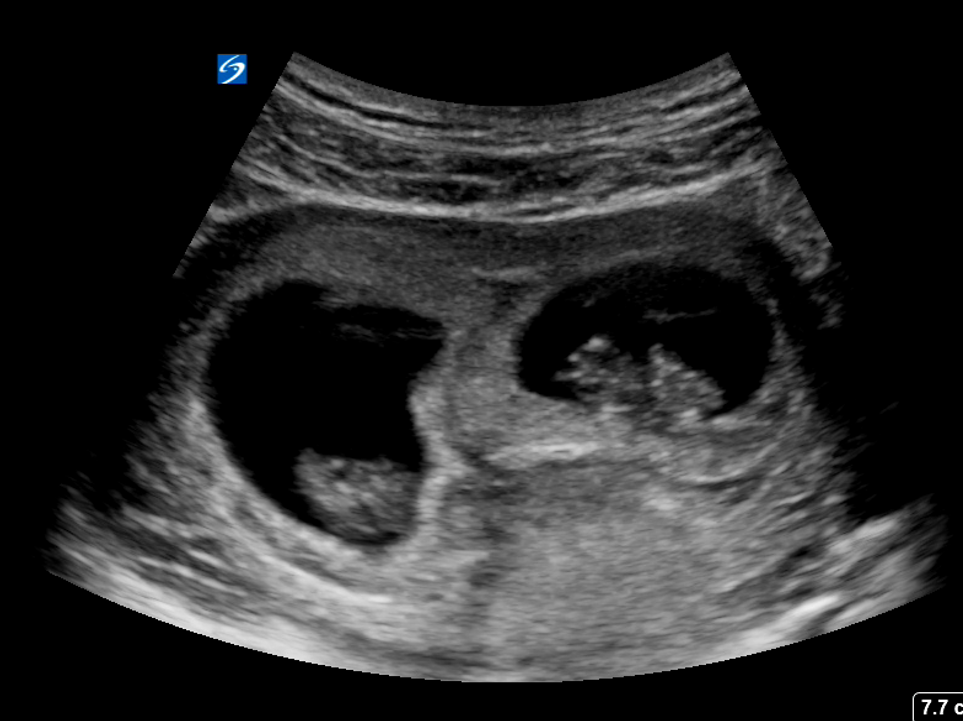
12. یک مطالعه جدید نشان داد که دوقلوها در اوایل بارداری 14 هفته در رحم پیوند می خورند.
در سال 2011 ، محققان Umberto Castiello از دانشگاه پادووا در ایتالیا فیلم های سه بعدی از دوقلوها را در رحم مادرشان مطالعه کردند. در 14 هفته حاملگی ، دوقلوها به یکدیگر نزدیک شدند. تا 18 هفته ، آنها بیشتر از آنکه بدن خود را لمس کنند ، یکدیگر را لمس می کردند. محققان گفتند که تجزیه و تحلیل سینماتیک ضبط ها نشان داد که این دوقلوها حرکات متمایزی نسبت به یکدیگر ایجاد کرده اند و به همان اندازه که در هنگام لمس کردن خود ، نسبت به ناحیه ظریف چشم ملایم بوده اند در مورد دیگری نیز رعایت کرده اند.

13. 40 درصد از دوقلوها زبان مشترکی دارند که در زمانی که کودک هنوز حرف زدن را کامل نیاموخته، با هم به آن زبان صحبت می کنند.
14. بیش از 50 درصد دوقلوها قبل از هفته 37 بارداری متولد می شوند.
15. میانگین وزن تولد برای یک دوقلو 5 پوند ، 5 اونس است.( هر پوند برابر است با ۰٫۴۵۳۵۹۲ کیلوگرم)
16. مطالعات نشان می دهد که امید به زندگی در مادران دوقلوها طولانی تر از مادران تک قل است.
17. بیش از دوقلوهای برادرانه و یکسان وجود دارد. انواع دیگر دوقلوهای نادر شامل "دوقلوهای یکسان یکسان" هستند (وقتی تخمک شکافته شود و بعد از آن هر نیمی بارور شود) و دوقلوهای تصویر آینه ای (دوقلوهای یکسان که به صورت نامتقارن رشد می کنند). دوقلوهای تصویر آینه ممکن است دارای علائم ظاهری متقارن مقابل در قسمتهای بدن خود باشند مثلا خال روی دست راست یکی و دست چپ دیگری در همان قسمت، یا دارای موهایی هستند که فرق آنها در جهات مخالف هم است.
18- مادرانی که دوقلوها باردار هستند ،در سطح بالاتری از بیماری صبحگاهی دارند را تجربه می کنند.
19. متوسط افزایش وزن برای بارداری تک قلو 25 تا 35 پوند است در حالی که متوسط افزایش وزن برای یک بارداری دوقلو 35 تا 55 پوند است.
20- یک مطالعه مقدماتی که در سال ۲۰۰۶ انجام شد، نشان داد زنانی که شیر گاو مینوشند، این احتمال در آنها پنج برابر بیشتر میشود.
منبع: /www.huffpost.com وhttp://incubar.net/